Chirurgie orthopédique vétérinaire La Ciotat
Les chirurgies orthopédiques sont indiquées lors d'affections de l'appareil locomoteur, elle sont réalisées à la clinique par le Docteur Vétérinaire Alexandre Chenin.
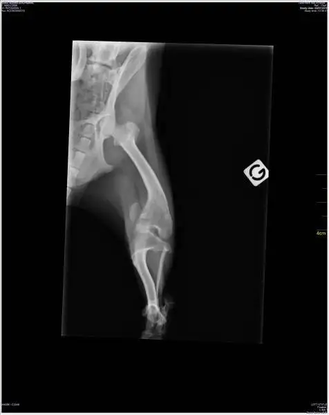
Le cas le plus évident est le traitement des fractures des os longs (fémur, tibia, humérus, radius, ulna, par ex.) mais aussi de certaines pathologies articulaires (arthrose par ex.) ou ligamentaires (rupture du ligament croisé antérieur par ex.).
Nous disposons d'un panel d'ancillaires de pose d'implants orthopédiques varié dont les très récents implants de vis à tête de verrouillage (technologie LCP) permettant de traiter la plupart des affections orthopédiques .
A la suite d'une chirurgie orthopédique votre animal sera gardé sous surveillance à la clinique plusieurs jours afin de prendre en charge efficacement la douleur post-opératoire. S'en suivra une période de convalescence qui impliquera de le mettre au repos strict (pas de jeu, pas de course, sortie en laisse pour ses besoins) plus ou moins long selon l'intervention réalisée. Enfin un suivi clinique et radiologique sera réalisé les semaines suivantes.
Articles Connexes à découvrir
Mon chien a des petites masses à l'arrière, le faire opérer à La Ciotat
La présence de petites masses, tumeurs, autour de l'anus ou à la base d...
Mon chien a une boule à l'oreille, que dois-je faire à La Ciotat ?
Une boule est apparue rapidement au niveau de l'oreille de votre chien ...
Mon chat doit se faire opérer d'un othématome à La Ciotat
En cas de choc, un hématome de l'oreille, appelé othématome, peut appar...
Mon chat souffre de gingivite chronique à La Ciotat
Nombreux sont les chats à souffrir de gingivite voire de gingivostomati...
Mon chien est cryptorchide, où le faire opérer à La Ciotat ?
Votre chien n'a qu'un seul testicule voire aucun testicule de visible. ...
Mon chat a un seul testicule, dois-je le faire castrer et où le faire castrer à La Ciotat?
Il peut arriver que votre chat n'ait qu'un seul testicule de visible. D...
Comment se fait la prise en charge de la douleur pour les chats et les chiens
Le code de déontologie vétérinaire nous rappelle que nous avons pour ob...
Où faire stériliser mon chien, mon chat ou mon lapin à la Ciotat chez le vétérinaire
La stérilisation est une étape clé dans la vie de votre animal. Elle es...
Chirurgie vétérinaire abdominale du chien, du chat et du lapin La Ciotat
En fonction du diagnostic établi et de la pathologie de votre animal, u...



